Безметалеві керамічні коронки або цирконієві коронки
Цирконієві коронки – це один із найнадійніших, естетичних, безпечних і довговічних способів відновлення зубів в стоматології. А класична металокераміка вже стає «вчорашнім днем».
Що таке цирконієві коронки?
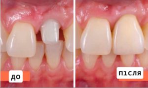
Цирконієві коронки пацієнти іноді називають «цирконієві зуби». І ця друга назва відображає безліч переваг: коронки із діоксид цирконію не відрізняються ні по кольору, ні по формі від натуральних зубів пацієнта, Іноді навіть родичі дізнаються про проведене протезування вже із слів самого пацієнта.
Цирконієва кераміка має багато переваг завдяки своєму біоінертному матеріалу «оксиду цирконію» і особливостям виготовлення самих коронок.
Вони виготовляються на високоточному обладнанні, яке унеможливлює навіть найменшу похибку. Тільки такі коронки можуть витримати навантаження, як у фронтальній так і в боковій ділянці щелепи.
Коронки з цирконію «за» і «проти»
Переваги:
- абсолютна біоінертність і сумісність з усіма тканинами навколо зуба (ясна, кістка)
- відсутність алергічних реакцій на матеріал коронки
- дуже висока міцність
- повна відсутністю відчуття «штучного зуба» в ротовій порожнині
- максимальна естетика і імітація природніх зубів
Недоліки – їх немає.
Проте, є певні інші стоматологічні захворювання і проблеми, при наявності яких не варто ставити коронки з діоксид цирконію:
- бруксизм та гіперфункція жувальнихм’язів (є ризик сколів і тріщин не лише емалі своїх зубів, а й кераміки)
- деякі різновиди патологічного прикусу
Але обидвапункти – це загальні протипокази до будь якого виду естетичного протезування протезування.
У яких випадках ставити цирконієві коронки
І все ж таки циркон чи металокераміка? Як визначитись щож кращебуде вам підходити?
Давайте розберемся в яких випадках встановлюють цирконієві коронки:
- поганий естетичний вигляд передніх зубів
- великі неестетичні реставрації на передніх зубах
- сірий колір ясен навколо старої коронки
- алергічна непереносимість інших матеріалів
- травми емалі
- часткова відсутність зубів
- естетичне протезування на зубних імплантах

Етапи виготовлення цирконієвих коронок
Виготовлення цирконієвих коронок- це складний і багатоетапний процес, повністю автоматизований в лабораторії від сканування моделі в сканері і до отримання кінцевого виробу із діоксиду цирконію.
Як виготовляють безметалеві коронки?
Після зняття відбитків лікарем ортопедом, ваші відбитки відправляються в авторизовану зуботехнічну лабораторію, в якій виготовляють робочі моделі. Далі ці моделі розміщують в спеціальний 3D сканер, за допомогою якого зуби оцифровуютьі виготовляють комп’ютерну. Ця комп’ютерна модель точно вирізається в автоматичному фрезері із монолітного шматка діоксиду цирконію.
Так майбутні коронки набувають свій каркас, на який наступним етапомнаносять шари кераміки, відновлюючи крок за кроком втрачені тканини зуба. Після всіх етапів готові цирконієві коронки відправляють у клініку для встановлення на зуби.
Підготовка зубів до протезування цирконієвими коронками
Основою для надійного протезування є добре проліковані опорні зуби, відсутність запалення ясен навколо та добре запломбовані кореневі канали.
Бажано провести професійну гігієну перед лікуванням і протезуванням зубів.
Етапи виготовлення коронок із діоксиду циркону
- підготовчий етап до протезування – терапевтичне лікування зубів та ясен
- обробка зубів під коронку і фіксування тимчасових конструкцій
- зняття відбитків, вибір кольору
- виготовлення цирконієвих коронок в лабораторії
- примірка і при потребі корекція коронок по прикусу
- фіксування на спеціальний матеріал
Для пацієнта встановлення такої коронки потребує 2 візити з інтервалом, в середньому, 1 тиждень.
Термін службикерамічних /цирконієвих коронок
Завдяки тому що діоксид цирконудуже міцний до зношування матеріал, термін його придатності необмежений і цирконієві коронки можуть служити все життя. І термін їхньої служби при правильному догляді в декілька разів перевищує термін служби звичайних металокерамічних конструкцій.
Ціна керамічних коронок
Велика кількість переваг, висока естетика та міцність визначають різницю в ціні з класичними коронками з металокераміки. Коронка з діоксиду цирконію коштує орієнтовно 7.000 грн. І вона буде служити вам багато років.
Пропонуємо вам ознайомитись з послугами нашої клініки