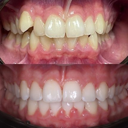
Відбілювання зубів системою Opalescence у Львові
Сяюча, білосніжна усмішка завжди привертає увагу і додає впевненості. Якщо ви мрієте про освітлення ваших зубів, шукаєте надійний, перевірений та ефективний метод, варто звернути увагу на професійне відбілювання системою Opalescence. У Львові ця процедура доступна і завоювала високу довіру пацієнтів завдяки своїй результативності та безпечності.
Інноваційна система Opalescence розроблена американською компанією Ultradent, яка вже багато років є лідером у сфері естетичної стоматології. Її унікальність полягає у складі гелю для відбілювання зубів Opalescence, який містить активні компоненти (перекис карбаміду або перекис водню) та додаткові речовини для захисту емалі, як-от нітрат калію та фторид.
Освітлення зубів системою Opalescence
Відбілювання за допомогою системи Opalescence відбувається завдяки хімічній реакції. Активний компонент (найчастіше це гель Опалесценс) проникає в емаль і дентин, де розщеплює органічні сполуки, які спричиняють потемніння емалі. Це відбувається без порушення структури зуба, що робить процедуру безпечною. Результатом є освітлення природного кольору на кілька тонів.
Ця процедура ефективна у боротьбі з потемнінням, спричиненим:
- ▪ віковими змінами
- ▪ вживанням «фарбуючих» продуктів (кава, червоне вино, чай, ягоди)
- ▪ курінням
- ▪ флюорозом (надлишком фтору)
- ▪ травмами або лікуванням, що призвело до потемніння окремих зубів (для цього випадку часто використовується спеціалізований Opalescence endo)
Відгуки пацієнтів у Львові про відбілювання Opalescence часто підкреслюють видимий результат вже після першої процедури та відносно невеликий дискомфорт.
Показання та протипоказання до процедури
Професійне відбілювання – це медична процедура, що має свої показання та обмеження.
Показання:
- ▪ бажання пацієнта покращити естетику посмішки
- ▪ наявність пігментації та плям, які не усуваються професійним чищенням
- ▪ необхідність освітлити зуби перед встановленням вінірів, коронок чи пломб (щоб нові реставрації відповідали бажаному світлому відтінку)
- ▪ потемніння окремого «мертвого» зуба (використовується внутрішнє відбілювання, наприклад, Opalescence endo)
Протипоказання:
- ▪ вагітність та період лактації
- ▪ наявність карієсу, некаріозних уражень або тріщин емалі – ці проблеми мають бути усунені до процедури
- ▪ захворювання ясен у стадії загострення (пародонтит, гінгівіт)
- ▪ алергія на компоненти гелю Опалесценс (рідкісно)
- ▪ наявність великої кількості пломб, коронок або вінірів у зоні посмішки (вони не відбілюються, і після процедури може виникнути контраст)
Види відбілювання Opalescence
Хімічне відбілювання зубів
Це професійне відбілювання, яке проводиться в умовах клініки без використання додаткових джерел світла (як-от лампа чи лазер). Використовується концентрований гель для відбілювання зубів Opalescence. Ефект досягається за рахунок високої концентрації активного гелю. Це швидкий та ефективний метод для досягнення вираженого результату за один візит. Прикладом є система Opalescence xtra.
Домашнє відбілювання зубів
Цей метод передбачає використання менш концентрованого гелю Опалесценс у спеціально виготовлених індивідуальних капах. Ви отримуєте гель для відбілювання зубів Opalescence та капи і використовуєте їх самостійно, за графіком, складеним лікарем (зазвичай від 30 хвилин до кількох годин на добу, або вночі, протягом 1-2 тижнів). Це більш м’який метод, ідеальний для пацієнтів з чутливими зубами або для підтримки результату.
Офісне відбілювання зубів
Це процедура, яка виконується лікарем у стоматологічному кріслі. Для цього використовується високоефективний гель Opalescence. Під час процедури обов’язково ізолюються ясна та м’які тканини, щоб захистити їх від контакту з концентрованим гелем. Процедура займає близько 1-1.5 години.
Ціна відбілювання зубів Opalescence у Львові
Вартість процедури залежить від обраного вами методу та кількості необхідних сеансів. У середньому один сеанс відбілювання 1 зуба коштує від 400 грн, а зубного ряду – від 6100 грн. Внутрішньоканальне відбілювання одного зуба – від 3050 грн/сеанс.
- ▪ Ціна Opalescence за офісне (клінічне) відбілювання буде вищою, оскільки включає роботу лікаря, дорогі висококонцентровані матеріали та захист м'яких тканин.
- ▪ Вартість домашнього комплекту (індивідуальні капи + гель Опалесценс) також є інвестицією у вашу усмішку.
- ▪ Спеціалізовані рішення, як-от ціна Opalescence endo (внутрішнє відбілювання одного зуба) або ціна Opalescence xtra, розраховуються окремо.
Точну вартість ви завжди можете дізнатися після консультації, коли лікар визначить ідеальний для вас план.
Рекомендації після процедури
Для того, щоб ваша посмішка залишалася білосніжною якомога довше, критично важливо дотримуватися простих правил догляду:
- ▪ «Біла дієта» (протягом 48-72 годин). Уникайте будь-яких продуктів та напоїв, що можуть забарвити емаль: кава, чай, червоне вино, соки з яскравим пігментом, шоколад, кольорові соуси, ягоди, а також куріння
- ▪ Використовуйте спеціальну зубну пасту: Рекомендується відбілююча зубна паста Opalescence – вона допомагає підтримувати білизну і знижувати чутливість
- ▪ Дотримуйтесь гігієни — регулярне чищення, використання нитки та іригатора
Часті питання про Opalescence відбілювання зубів
Ефект від професійного відбілювання Opalescence може тривати від 1 до 3 років. Тривалість залежить від вашого способу життя (дієта, куріння) та гігієни. Процедуру можна повторювати раз на рік або раз на півтора року, за умови, що це не шкодить емалі, що завжди визначає стоматолог.
Сама процедура зазвичай безболісна. Однак, у деяких пацієнтів може виникати підвищена чутливість зубів під час або після процедури. Лікар використовує спеціальні десенсибілізуючі засоби, гель Opalescence сам по собі містить компоненти для зниження чутливості, що робить дискомфорт мінімальним і тимчасовим.
Тривалість залежить від типу відбілювання:
| Тип відбілювання | Концентрація гелю | Тривалість застосування |
| Офісне | Висока (наприклад, 40%) | 15-20 хвилин за одну аплікацію (кілька разів за сеанс) |
| Домашнє | Низька (наприклад, 10-20%) | Від 30 хвилин до 8 годин (нічний режим), залежно від рекомендацій лікаря |
Як вже зазначалося, критично важлива «біла дієта» протягом 48-72 годин. Слід виключити все, що має сильний пігмент:
- ▪ червоне вино, кава, чорний чай
- ▪ буряк, морква, шпинат
- ▪ гірчиця, кетчуп, соєвий соус
- ▪ кольорові газовані напої та сік
Після закінчення цього періоду обмеження знімаються, але для довготривалого ефекту краще зменшити вживання сильно фарбуючих продуктів.
Так, тимчасове підвищення чутливості – це найпоширеніший побічний ефект будь-якого професійного відбілювання. Однак, система Opalescence розроблена з урахуванням цього: до складу гелю для відбілювання зубів Opalescence входять нітрат калію та фторид, які мінімізують чутливість та зміцнюють емаль. У більшості випадків чутливість повністю зникає протягом 12-48 годин.
Якщо ви готові зробити перший крок до білосніжної усмішки, професійна консультація у клініці Львова допоможе вам визначити, який саме вид відбілювання Opalescence підходить для ваших зубів і виправдає очікування.
