УЛЬТРАЗВУКОВА ЧИСТКА ЗУБІВ У ЛЬВОВІ
Здорова та красива посмішка – це не просто естетика, а необхідна умова загального здоров’я. Навіть найретельніше щоденне чищення зубів не може повністю усунути всі бактеріальні відкладення та зубний камінь, що накопичуються в місцях, недоступних для звичайної щітки. Саме тут на допомогу приходить професійна гігієна, ключовим елементом якої є ультразвукова чистка зубів. Якщо ви шукаєте якісне ультразвукове чищення зубів у Львові, ви на вірному шляху до здоров’я ясен та довговічності ваших зубів.
Що таке ультразвукова чистка зубів
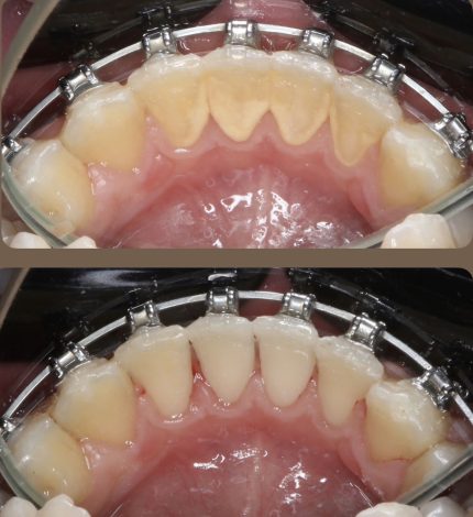
Ви, напевно, чули про цю процедуру, але що таке ультразвукова чистка зубів насправді? Це сучасний та ефективний метод професійної гігієни, що базується на використанні спеціального апарата – ультразвукового скалера. Цей інструмент генерує високочастотні коливання, які передаються на його кінчик. При контакті з твердими відкладеннями, ці вібрації руйнують структуру зубного каменю та пігментованого нальоту без пошкодження зубної емалі. Фактично, видалення зубного каменю ультразвуком — це найефективніший спосіб очищення зубного ряду як над, так і під яснами (супра- та субгінгівальні відкладення).
Коли потрібно робити ультразвукову чистку зубів
Професійна чистка – це профілактика №1 від карієсу, гінгівіту та пародонтиту. Є чіткі ознаки того, що вам необхідна ультразвукова чистка зубів:
- ▪ Поява помітного жовтого, коричневого чи сірого нальоту на зубах
- ▪ Формування твердих відкладень, які ви не можете прибрати щіткою (зубний камінь)
- ▪ Кровоточивість ясен під час чищення або прийому їжі
- ▪ Неприємний запах з рота, що не зникає після чищення
- ▪ Планування будь-якого серйозного стоматологічного лікування (пломбування, протезування, ортодонтичне лікування, імплантація)
- ▪ Як регулярна профілактика (зазвичай, раз на 6 місяців)
Протипоказання до процедури
Незважаючи на безпечність та високу ефективність, ультразвукова чистка зубів протипоказання все ж має. Це допомагає зробити процедуру максимально безпечною для кожного пацієнта. Основними обмеженнями є:
- ▪ наявність кардіостимулятора у пацієнта (ультразвукові хвилі можуть вплинути на його роботу)
- ▪ гострі запальні процеси у порожнині рота (наприклад, герпес у стадії загострення)
- ▪ надмірна чутливість зубів (у такому разі застосовується місцева анестезія)
- ▪ наявність незнімних ортопедичних конструкцій, які можуть бути пошкоджені
- ▪ перший триместр вагітності
- ▪ серйозні захворювання дихальних шляхів
Як проводять чистку зубів ультразвуком
Процедура ультразвукового чищення зубів у нашій клініці проводиться в кілька етапів, щоб забезпечити максимальну чистоту та комфорт і вона входить у комплекс загальної професійної гігєни зубів:
1. Консультація та огляд
Стоматолог-гігієніст оцінює стан ротової порожнини та об’єм відкладень.
2. Видалення твердих відкладень
За допомогою ультразвукового скалера лікар акуратно знімає зубний камінь та наліт з усіх поверхонь зуба.
3. Видалення м’якого нальоту та пігментації (Air Flow)
Часто використовується система Air Flow – метод, що видаляє м’який наліт та плями від кави, чаю, тютюну струменем води, повітря та спеціального порошку.
4. Полірування
Поверхні зубів ретельно поліруються спеціальними щіточками та пастами. Це критично важливий етап, оскільки гладка емаль менше притягує бактеріальний наліт.
5. Фторування (за показаннями)
Нанесення фторовмісних препаратів для зміцнення емалі та зниження чутливості.
Ціна ультразвукової чистки зубів у Львові
Для багатьох пацієнтів важливим фактором є ціна чистки зубів ультразвуком. Вартість процедури може варіюватися залежно від складності клінічного випадку (обсягу зубного каменю), використання додаткових методик (наприклад, Air Flow), а також необхідності застосування анестезії. Проте, ми пропонуємо прозору ціну ультразвукової чистки зубів та гарантуємо високу якість послуг. Щоб дізнатися точну вартість для вашого випадку, необхідна попередня консультація. У нашій клініці вартість процедури ультразвуку починається від 600 грн. Пам’ятайте, що інвестиція у професійну гігієну – це економія на майбутньому лікуванні карієсу.
Рекомендації після процедури
Після того, як завершена ультразвукова чистка зубів, ваші зуби стають ідеально чистими, а ясна – здоровішими. Щоб закріпити результат, дотримуйтесь простих правил:
- ▪ Протягом перших 2-3 годин утримайтеся від прийому їжі та напоїв, що фарбують емаль (кава, чорний чай, червоне вино, соки, ягоди).
- ▪ Дотримуйтесь так званої «білої дієти» протягом 24 годин.
- ▪ Використовуйте м’яку зубну щітку протягом 2-3 днів.
- ▪ Зверніть увагу на рекомендації лікаря щодо вибору зубної пасти та додаткових засобів гігієни (флоси, йоржики, іригатор).
Хороші відгуки про ультразвукову чистку зубів завжди пов’язані з дотриманням цих простих рекомендацій.
Часті питання про ультразвукове чищення зубів
Більшість пацієнтів відчувають лише вібрацію та легкий тиск, а не біль. Якщо ж у вас підвищена чутливість або велика кількість субгінгівальних (під’ясенних) відкладень, ми завжди можемо запропонувати місцеве знеболення. Ваш комфорт – наш пріоритет.
Зазвичай, комплексна професійна гігієна, що включає ультразвукову чистку зубів, займає від 40 до 60 хвилин. Тривалість залежить від об’єму роботи та кількості зубного каменю.
Так, абсолютно безпечна. Сучасне обладнання налаштоване таким чином, що руйнує лише тверді відкладення, не пошкоджуючи зубну емаль і не травмуючи ясна. Навпаки, видалення каменю є ключем до збереження здоров’я пародонту.
Стоматологи рекомендують проходити процедуру кожні шість місяців. Для пацієнтів з пародонтитом або тих, хто має ортодонтичні конструкції, графік може бути скоригований до 3-4 місяців.
Ультразвукова чистка зубів при вагітності дозволена, але з деякими обмеженнями. Найбезпечнішим вважається другий триместр (з 14-го по 26-й тиждень). У першому триместрі та на пізніх термінах краще уникати будь-яких втручань, якщо вони не є невідкладними. Обов’язково повідомте лікаря про свій стан.
Air Flow і ультразвукова чистка – це два етапи однієї комплексної процедури. Ультразвук призначений для видалення твердого зубного каменю. Air Flow – це апарат, який очищує поверхню зубів від м’якого бактеріального нальоту, пігментації та залишків їжі за допомогою потужного струменя з порошку та води. Вони ідеально доповнюють один одного.
Ультразвукова чистка зубів у Львові — це ваш надійний крок до здорової ротової порожнини. Зверніться до нас, щоб отримати професійну консультацію та якісну процедуру.
